Measure Angles 1.2 MOD APK for Android

Measure Angles
Versi 1.2
Tanggal Diperbarui November 12, 2025
kategori Olahraga dan kesehatan
ukuran 2.92MB
7.5
1
2
3
4
5

7.5

Nikmati jutaan aplikasi android terbaru, game, musik, film, TV, buku, majalah & lainnya. Kapan saja, di mana saja, di seluruh perangkat Anda.

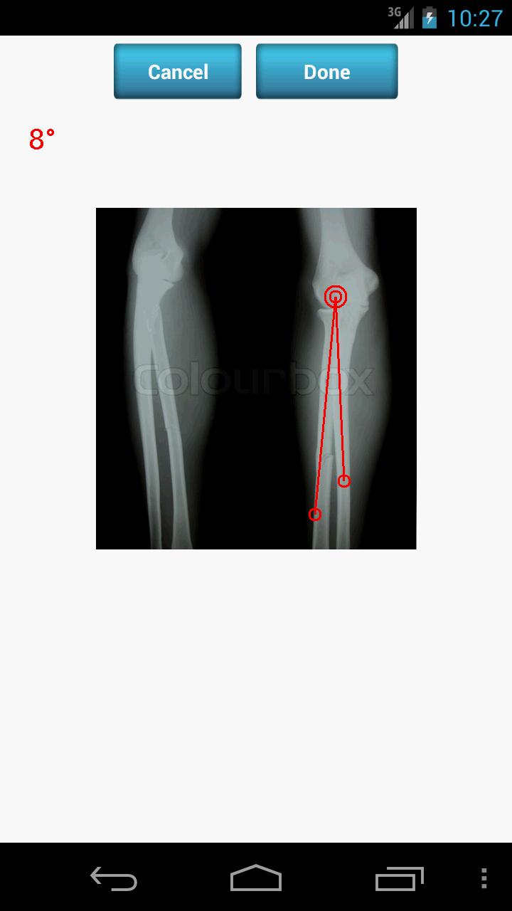
Aplikasi ini memungkinkan pengukuran sudut pada radiografi [dan foto klinis] di ponsel Anda

Fitur yang menonjol:

-Pen perangkat pengukur sudut digital yang sangat akurat untuk Measure Angles dalam sambungan besar, sambungan kecil dan juga tulang belakang

-Readings dapat direkam dengan profil terpisah untuk setiap pasien untuk menyimpan catatan yang baik untuk memeriksa peningkatan berurutan dalam kisaran gerak pada tindak lanjut yang berbeda.

- Alat yang sangat baik untuk mendapatkan gambaran tentang kelainan bentuk sudut dan angulasi di tulang dan sendi

Detail:

' Measure Angles ' tidak hanya mencatat pengukuran sudut tetapi juga membantu Anda mencatat semua bacaan sehingga Anda dapat membandingkan bacaan pasien di berbagai kunjungan. Khusus untuk ahli bedah dan terapis yang menindaklanjuti pasien secara berkala.

Alat pengukuran mudah digunakan dan sangat akurat. Ini dapat digunakan untuk radiografi serta foto klinis.

Catatan didasarkan pada lembar catatan pasien sederhana yang akan berguna dalam menangkap dan merekam data spesifik pasien termasuk demografis dan diagnosis bersama dengan jadwal perawatan apa. Ini akan membantu dalam mengawasi perbaikan pasien dan juga membandingkan pengukuran sudut pada interval waktu berurutan. Mudah melihat peningkatan radiografi pasien.

Ini adalah aplikasi memungkinkan Anda penggunaan gratis untuk 25 bacaan hanya dengan ketentuan untuk pembelian lebih lanjut aplikasi. Untuk masalah apa pun yang terkait dengan aplikasi, silakan tulis kepada kami di [email protected]

Apa yang baru di versi 1.2 terbaru

Terakhir Diperbarui pada 1 Agustus 2015 - Perbaikan Bug Kecil